Sân chơi về Mock-up và phục hình tạm thẩm mỹ lớn nhất Việt Nam đã trở lại!
Hãy chinh phục thử thách “răng tạm cũng phải đẹp” để thỏa mãn đam mê và nhận nhiều giải thưởng giá trị.
Trong bối cảnh điều trị thẩm mỹ như veneer ngày càng quen thuộc hơn với bác sĩ, kỹ thuật mockup và phục hình tạm tưởng chừng như đơn giản hơn nhưng cũng thách thức không kém nếu xét ở khía cạnh chỉn chu, tính thẩm mỹ hoàn hảo và một kế hoạch điều trị hiệu quả.
Trên tinh thần đó, Seadent và DMG tiếp tục mang cuộc thi Luxatemp Master Contest trở lại với Quý Bác sĩ. Luxatemp Master Contest 2022 một lần nữa hứa hẹn sẽ là sân chơi, cơ hội cho các bác sĩ tự hào chia sẻ những case lâm sàng về phục hình tạm thẩm mỹ nổi bật nhất của mình.
Chúng tôi hy vọng sẽ nhận được nhiều case lâm sàng xuất sắc từ các bác sĩ.

Các bước tham dự
Đăng tải bài viết trên trang facebook cá nhân của mình dưới dạng một CASE LÂM SÀNG. Bài viết bao gồm: Hình ảnh mock-up cho veneer hoặc phục hình toàn hàm/ nâng kích thước dọc.
Vật liệu sử dụng: Cao su lấy dấu Honigum và vật liệu làm răng tạm Luxatemp
Mô tả về case lâm sàng, mô tả dưới các hình cụ thể và thêm hashtag #luxatemp, #honigum, #seadent, #dmgchallenge, #luxatempmastercontest2022 ở bài viết
Tag 3 người bạn và đăng bài post ở chế độ công khai
Gửi case lâm sàng này (hình ảnh gốc) về email: info@seadent.com.vn với đầy đủ thông tin: Họ tên đầy đủ + Tên nha khoa + Địa chỉ nha khoa + SĐT + Link bài post
Bước 1: Đăng tải bài viết trên trang facebook cá nhân của mình dưới dạng một CASE LÂM SÀNG PHỤC HÌNH TẠM. Bài viết bao gồm: Hình ảnh mock-up cho veneer hoặc phục hình toàn hàm/ nâng kích thước dọc.
Vật liệu sử dụng: Cao su lấy dấu Honigum và vật liệu làm răng tạm Luxatemp
Bước 2: Mô tả về case lâm sàng, mô tả dưới các hình cụ thể và thêm hashtag #luxatemp, #honigum, #seadent, #dmgchallenge, #luxatempmastercontest2022 ở bài viết
Bước 3: Tag 3 người bạn và đăng bài post ở chế độ công khai
Bước 4: Gửi case lâm sàng này (hình ảnh gốc) về email: info@seadent.com.vn với đầy đủ thông tin: Họ tên đầy đủ + Tên nha khoa + Địa chỉ nha khoa + SĐT + Link bài post
– Là thành viên của trang Seadent Dental Supply trên facebook (đã Like trang)
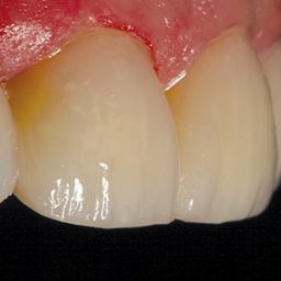
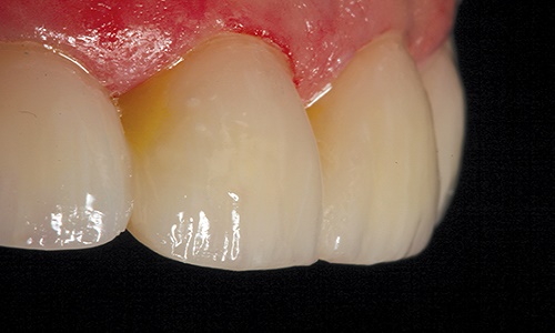
– Các hình ảnh của case lâm sàng TỐI THIỂU PHẢI CÓ:
- Hình ảnh tình trạng ban đầu (trong miệng) của bệnh nhân
- Hình ảnh khoá silicone bằng Honigum
- Hình ảnh mock-up bằng Luxatemp
- Hình ảnh quy trình sửa soạn cuối cùng
- Hình ảnh dấu cao su sửa soạn bằng Honigum
- Hình ảnh phục hình tạm bằng Luxatemp bên trong miệng hoàn thiện và được đánh bóng
Quy định về hình ảnh
- Hình ảnh trước và sau phải cùng một góc nhìn và theo hướng vuông góc với đối tượng
- Độ phân giải của hình ảnh: ít nhất là 300 dpi
- Nếu được thì kích thước hình ảnh là 1600×900, định dạng .jpg
- Hình ảnh sắc nét (không bị mờ, bị vỡ
- Hình ảnh sáng rõ
- Cố gắng giữ môi về phía sau để góc nhìn về tình trạng ban đầu được rõ ràng
- Cố gắng tránh nước bọt, máu và lưỡi bệnh nhân
- Các hình ảnh, case lâm sàng tham gia dự thi đều phải thuộc quyền sở hữu của các cá nhân dự thi. Tất cả những bài dự thi có kiện cáo tranh chấp về bản quyền sẽ không được SEADENT đánh giá. Người tham gia cuộc thi tự chịu trách nhiệm và có nghĩa vụ tự giải quyết mọi tranh chấp, khiếu nại, khiếu kiện, đòi bồi thường liên quan đến việc sử dụng hình ảnh và case lâm sàng tham gia (nếu có).
- Bài dự thi phải được sự đồng ý bằng văn bản của bệnh nhân để đảm bảo không bị tranh chấp, kiện tụng.
- Mọi tranh chấp về bài thi (nếu có) sẽ không thuộc trách nhiệm của SEADENT và DMG.
- Tất cả các hành vi gian lận về lượt tương tác trên facebook sẽ bị phát hiện, bị hủy các giải thưởng (nếu có)
- Tất cả các giải thưởng trong cuộc thi này không được quy đổi thành tiền mặt, chuyển nhượng và sẽ huỷ nếu trong thời gian quy định (1 tuần sau công bố) mà người thắng cuộc không liên hệ và hoàn tất thủ tục nhận giải.
- BTC cuộc thi, bao gồm SEADENT và DMG sẽ được quyền sử dụng hình ảnh của các bài dự thi trong việc truyền thông & quảng bá về cuộc thi & thương hiệu nếu có.
- Quyết định của BTC là quyết định cuối cùng.
Ban giám khảo

Là chuyên gia trong lĩnh vực nha khoa thẩm mỹ phục hồi gián tiếp.
Là speaker và tổ chức khóa học về chủ đề Veneer, Smile Design như:
“Thu thập dữ liệu trong nha khoa”, “ Phục hồi tổng thể từ A đến Z ”, “ Phục hồi gián tiếp”
Dr. Nazariy Mykhaylyuk
Chief Physician, Prosthodontist, Đồng sáng lập M.Vision Clinic & Lab

Phó chủ tịch của Hiệp Hội Kỹ Thuật Số Y Khoa và Nha Khoa Hellenic
Tổng biên tập của tạp chí Nha Khoa Hy Lạp
Thành viên của Hiệp Hội Nha Khoa Kỹ Thuật Số (DDS) và Hiệp Hội Phục Hình Hy Lạp (ΕΛΛΠΕ)
Dr. Alexandros Manolakis

Có nhiều năm kinh nghiệm trong nghiên cứu lâm sàng nha khoa
Bác sĩ nghiên cứu trong phẫu thuật miệng và hàm mặt tại Bộ Y tế, Syria.
2016 đến nay: Bác sĩ nghiên cứu lâm sàng sản phẩm Luxatemp tại DMG, Hamburg, Đức
- Ban giám khảo cuộc thi là các chuyên gia nổi tiếng trong nha khoa thẩm mỹ và phục hồi, cơ hội được học hỏi từ các đánh giá, nhận xét của chuyên gia
- Giải thưởng siêu hấp dẫn, từ giải khuyến khích đến giải vô địch đều rất giá trị
- Cơ hội để cọ xát và học hỏi từ đồng nghiệp tham dự trong và ngoài nước, cơ hội để chỉn chu các case lâm sàng cho chính mình.

Giải thưởng
Hàng trăm phần Quà khuyến khích trị giá 1.990.000 đồng cho bác sĩ upload case tham dự, bao gồm:
- 01 bộ mũi khoan sửa soạn veneer Komet 4388
- 01 áo thun Luxatemp Master Contest năng động
- 01 bình nước Luxatemp Master Contest tiện lợi.
Giải chung kết sẽ do Ban Giám Khảo sẽ tiến hành đánh giá và chấm điểm các case tham dự hợp lệ và đáp ứng tốt nhất các tiêu chí.

